© Videoman z roku 2026 | Kontakt / Kontakt: info@videoman.gr | Zásady ochrany osobních údajů | Podmínky použití
Více výsledků...




(13) | 10.12.2018 | 
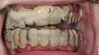
Naše zubní lékař Joseph Nimeth ukazuje případ muže, kteří nikdy umyl zuby po dobu 20 let. Obrovský kámen tumor tvořil kolem jeho zuby, a měl několik dalších problémů, jako je zánět dásní a infekcí.
© Videoman z roku 2026 | Kontakt / Kontakt: info@videoman.gr | Zásady ochrany osobních údajů | Podmínky použití